AI-Powered Remote Ultrasound for Cardiology & OB/GYN
Bringing real-time AI scanning support and expert remote diagnostics together — closing the gap in access and accuracy of care.
How It Works
From AI-guided scanning to expert diagnosis in four seamless steps
AI-Guided Scanning
AI provides real-time positioning guidance and quality feedback
Quality Validation
Diagnostic-quality images captured automatically
Expert Interpretation
Board-certified radiologist reviews and reports
Fast Report Delivery
Comprehensive report ready for clinical decision-making
Tilt Left
For lateral views
Tilt Right
For opposite angle
Rotate 90°
For transverse view
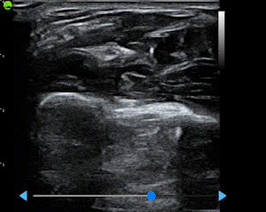
Intelligent Scanning Assistance
for Every Operator
Our AI-powered guidance system helps sonographers capture diagnostic-quality images with confidence
Real-Time Visual Guidance
Dynamic, multi-planar probe positioning assistance overlaid directly on the ultrasound image
Automatic Quality Assessment
Real-time quality scoring with percentage indicators ensures every captured image meets diagnostic standards
Smart Auto-Capture
Hands-free recording automatically captures clips when optimal image quality is achieved
View Recognition & Validation
AI identifies and validates standard cardiac and OBG views, ensuring protocol compliance
Reduced Cognitive Load
Semi-transparent visual cues minimize eye movement and mental effort during scanning
Dynamic Reference Examples
Live example clips show target views in motion, accelerating learning and pattern recognition

Trained on millions Cardiac & OBGyn Ultrasound Images
Built from a dataset of millions de-identified ultrasound images, our AI models cover Obstetrics, Cardiology, and Gynecology. They analyze key anatomical structures in real time, providing accurate biometric measurements and insights that help clinicians assess fetal growth, cardiac function, and organ health with greater speed and confidence.
Healium Sono
Healium Sono combines real-time AI-guided ultrasound scanning with expert remote diagnostics to deliver fast, accurate, and accessible care. Our platform bridges the gap between limited on-site expertise and high-quality imaging, empowering clinicians to perform confident cardiac and OB/GYN assessments wherever care is needed.

Clinic

Ambulances

Clinicians on regular rounds

Emergency-room

Medical training
Healium Sono Advantage
The perfect combination of AI-powered acquisition and expert human interpretation
AI Powered Acquisition
- Real-time guidance during scanning
- Automatic quality assessment
- Reduced operator variability
- Faster scan completion
Expert Human Interpretation
- Board-certified radiologists
- Comprehensive diagnostic reports
- Clinical context integration
- 24/7 availability
Unlike solutions that offer only AI guidance or only remote interpretation, Healiumsono delivers both, ensuring consistent image quality and expert diagnostic accuracy.
Device Compatibility
Works seamlessly with industry-standard ultrasound devices and modern web browsers
For the bedside scanner
LU700C CONVEX
LU700L LINEAR
- Wireless connectivity
- AI-powered image optimization
- Real-time streaming capability
For the trained practitioner
Latest version of
Chrome and Safari on a computer.
- Cross-platform compatibility
- Secure cloud-based access
- No software installation required
Need help with device setup? Contact our support team
Trusted by Healthcare Professionals
Industry-leading technology backed by certifications and guarantees

AI-Powered Technology

Clinically Validated
Award Winning Technology
HIPAA Compliant Certified

Lifetime Guarantee
Frequently Asked Questions
Everything you need to know about Healiumsono
Still have a questions? Contact our support team
Powerful Features for Smarter Diagnostics
Designed for speed, accuracy, and reliability, Healium Sono delivers the tools hospitals and clinicians need to work smarter and faster.
Lightning Fast
From scan to report in minutes, not hours
Massive Savings
Cut diagnostic costs by up to 70%
Future-Ready
Advanced AI-powered cloud technology
Always Available
24/7/365 expert coverage
Ready to Experience the
Diagnostic Revolution?
Join healthcare facilities worldwide that trust Healiumsono for AI-powered remote ultrasound diagnostics.
- Free demo and consultation
- No long-term contracts required
- Seamless integration with existing workflows
- Dedicated support team
24/7
Expert Coverage
<70%
Cost Reduction
100%
HIPAA Compliant
Request a Demo
By submitting this form, you agree to our privacy policy. We’ll never share your information.
